As a newly opening practice, we’re excited to begin creating beautiful smile transformations for patients throughout Youngsville and surrounding communities. Dr. Murray and Dr. Mullen bring extensive training and experience from their previous practices, along with advanced skills gained through their AEGD residencies at Alabama’s Foundry Dental Center.
Our doctors combine artistry with advanced technology to create smiles looking natural and feeling comfortable. Whether through cosmetic bonding, porcelain veneers, dental implants, Invisalign, or comprehensive treatment plans, we help patients achieve the confident smiles they’ve always wanted while maintaining optimal oral health. As we build our patient family, we look forward to showcasing the transformations we create together.
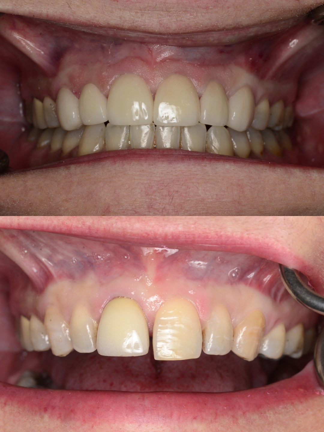
We offer comprehensive cosmetic solutions including porcelain veneers, professional teeth whitening, and cosmetic bonding to create beautiful, natural-looking results boosting confidence and enhancing facial aesthetics. Our doctors’ advanced cosmetic training ensures exceptional outcomes tailored to your unique features and goals.
Our doctors’ intensive training in implant surgery allows us to provide remarkable transformations through single tooth dental implants, multiple implant restorations, and full-arch reconstructions restoring both function and natural beauty. As Fellows of the International College of Oral Implantology, Dr. Murray and Dr. Mullen bring advanced surgical skills to every implant case.
We provide Invisalign clear aligner treatment achieving beautiful results by straightening teeth and correcting bite issues while maintaining discretion throughout treatment. Both doctors completed extensive training in orthodontic tooth movement and cosmetic alignment, ensuring optimal outcomes for patients seeking alternatives to traditional braces.
“The whole staff were kind and made me feel welcome, Dr. Murray was amazing and took care of my problem on my first appointment. Great experience!”
“Dr. Murray is the best Dentist I’ve ever had. His assistant is always very caring and telling me everything she does. I’m very thankful I’ve met this Dentistry. I highly recommend Dr. Caleb Murray and his staff.”
“Amazing experience, truly professional cleaning and checkup. Dr. Murray is the absolute best… 10 out of 10.”
“Awesome ppl, awesome office, awesome vibes… Dr Murray and his assistant are champs.”
“Best dental office I’ve been to. The atmosphere is wonderful! Dr. Murray does an excellent job…”
“Dr Murray is the best dentist ever… I had 4 teeth extracted and felt better than after cleanings at other dentists.”
“Jessamine Family Dentistry was amazing today!… Dr. Murray and his staff were extremely knowledgeable and kind.”
“Love this place. Excellent service in a clean, professional location… Dr. Murray and his assistants were very helpful.”
“Dr. Murray is wonderful! He listens and takes his time to help… Highly recommend.”
“All I can say is WOW!!!… Dr. Murray and Elizabeth are so professional yet so incredibly friendly.”
“My first visit was great… Dentist Kaleb Murray was wonderful at explaining my options.”
“Great staff, no wait time, Dr. Murray was terrific—explained with X-ray and gave me options.”
“Great staff!… Dr. Murray was laid back, knowledgeable and direct. Went over all my options.”
Dr. Mullen did my implant. His work is excellent. I don’t know about
insurance, I paid cash, but I highly recommend him
Dr. Mullen is the nicest and a super gentle dentist.
I’ve never been more comfortable at the dentist.
I had 2 wisdom teeth pulled and had a great experience! Dr. S. Mullen extracted both teeth with no problem. I will definitely be back! I
highly recommend them!!
Dr. Mullen is extremely knowledgeable and always explains everything thoroughly to me.
Dr. Mullen was very professional and did an excellent job
with my dental care. Their knowledge and the equipment they used were top notch.
Dr. Mullen was very professional and did an awesome job. I highly recommend
He examined me as a walk-in patient and provided me peace of mind throughout the weekend that my dental situation was healthy.
I appreciated Dr. Mullen’s thorough explanation. Will refer my friends.
Latest technology used for x rays and viewing the results on a
large screen in the exam room. Doctor Mullens clearly explained a plan of care.
Dr. Mullen made my experience fun and painless
Dr. Mullen was very thorough and knowledgeable. I am very pleased with the services that I received yesterday. I’d
recommend them to anyone!!!
“Oh My! If there’s a best experience in tooth removal, this was today with Dr. Mullen. 110 percent recommend if you need even the largest tooth in ur mouth to be pulled, he is the guy. He just had that gracious, calm, helpful demeanor that I needed today. My situation was a 2yr old crown with infection underneath, no root canal… periodic pains til on antibiotics from another dentist. I knew 2 years ago it should have been pulled, but others recommended to ‘save’ it…it didn’t save, kept causing issues. Thank you, thank you sir for relieving that pain, nice as could be….the best of both worlds. I do have to go back in, after almost a week, there’s a lot of pain in same area outer gumline, they saw me right away today, it was a bone spur, something new to me, but once again professionalism & took care of issue. Thank you”
“My husband and I winter in Louisiana. This is the first time I have ever broken a tooth and needed it pulled out. Dr. Mullen was wonderful. He took the time to know me a little and concerns that may affect the surgery… In the numbing process it went well. He was honest and explained everything that was going on. The removal of my tooth only took an hour. He said it went well and I am comfortable to say he is very trustworthy. I will return to him for cleanings and other care as needed.”
“After 60 years, I never thought that I would be giving a dental experience a thumbs up.. Dr. Mullen was super! He pulled my old broken molar. He had a technique that made it so the usual terrible pulling and sounds of an extraction was more than cut in half. The numbing has been worn off for about an hour and I feel great!! Incredible! I have a few more teeth to tend to and am SO much more at ease.”
“Dr. Mullen is one of the best.. was so nervous about pulling out my one remaining wisdom tooth and he had it out in no time. Highly recommend”
“I had 2 teeth extracted and Dr. Mullen took special care making sure I was comfortable and not in pain. He even called and checked on me later. I highly recommend Dr. Mullen”
Every smile transformation begins with a comprehensive consultation where we listen to your goals and assess your oral health. Using advanced digital imaging and treatment planning software, we show you exactly what your new smile will look like before treatment begins, allowing you to make confident decisions about your care.
Our doctors work together on complex cases, combining their knowledge to ensure optimal results. Throughout treatment, we prioritize your comfort using the latest techniques and technology, keeping you informed at every step of your transformation journey. We’re committed to creating results exceeding your expectations while maintaining the highest standards of clinical excellence.
Our advanced techniques and materials create restorations looking and feeling completely natural. Each treatment is customized to complement your facial features and personal style, ensuring beautiful results enhancing your unique smile.
We utilize cutting-edge digital imaging, 3D treatment planning, and precision techniques to achieve predictable, exceptional results. Our technology allows you to preview your new smile before treatment begins.
Using premium materials and proven techniques, our restorations are designed to provide years of beautiful function. We stand behind our work and provide comprehensive care instructions for optimal longevity.
Experience the difference that modern technology and compassionate care can make in your dental health journey. Our team is ready to provide you with exceptional treatment in a comfortable, welcoming environment. Whether you need routine preventive care, cosmetic enhancements, or advanced restorative procedures, we’re here to help you achieve optimal oral health. Schedule your appointment today and discover why families throughout Youngsville choose Maison Dental Studio for their dental care needs. We accept most major insurance plans, offer flexible financing options, and feature our in-house membership plan to make quality dental care accessible for everyone.